歯を削らないで白くする━ホワイトニング━
なぜ歯が黄色くなるの・・・?
~歯に色がついてしまう3つの原因~
①生活習慣による汚れ・・・
個々の生活習慣により歯の表面や内部に色がついてしまうことがあります。茶渋(タンニン)やたばこのヤニ(タール)、赤ワインやコーヒー(ポリフェノール)、コーラやカレーなどが落ちない色素沈着の元となります。
②加齢による変色・・・
年齢を重ねるごとに歯の内側にある象牙質の厚みが増し、歯の色は徐々に歯の色は濃くなります。また、歯の表面は亀裂ができ色素が浸み込みだり、表面の再石灰化の際に色素が取り込まれたりします。
③歯の構造の変化・・・
歯の病気や外傷、薬の副作用で歯の色が変化することがあります。胎児の時期に母親が服用、あるいは小さい子供のころに服用した抗生物質(テトラサイクリン)の影響でも変色してしまいます。
ホワイトニングの種類
①歯科医院で行う『オフィス・ホワイトニング』
白く輝く歯をその日のうちに実感することが出来ます。
※一時的に知覚過敏(冷たいものがしみる)を感じることがあります。

②ご自宅で行う『ホーム・ホワイトニング』
専用のトレーを使用し、患者様ご自身で約2週間程度(毎日使用した場合)かけ、徐々に白くしていきます。
時間は掛かりますが、後戻りが少なく自然な透明感のある白さを得ることが出来ます。

③オフィス・ホワイトニングとホーム・ホワイトニングを組み合わせた『デュアル・ホワイトニング』
白さを持続させるために適した、ホワイトニング方法です。
オフィスで短期間で白くして、ホームでさらに自然な白さと安定性を得ます。
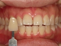
オフィスホワイトニング施術例ホワイトニング施術前
|
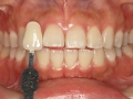
来院2日目(3回照射)
|
|||||||||

HOME










